news
發布時間:2026-03-09
近日,重慶醫科大學附屬璧山醫院(重慶市璧山區人民醫院)創面修復與燒傷科團隊憑借豐富經驗與精湛技術,采用多術式聯合、分階段施治的方案,成功救治一名機械擠壓傷患者,精準攻克潛行竇道、組織壞死及腹壁缺損等修復難題,展現了科室在復雜創傷救治領域的專業實力。

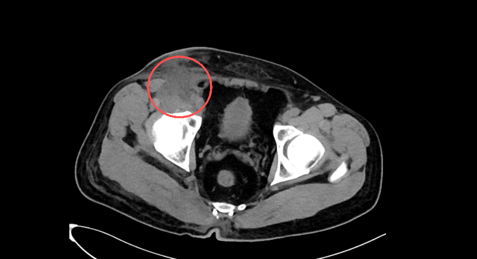
患者徐先生工作時被機械擠壓致臀部、右側腹股溝等多部位開放性傷口伴出血,傷后10天因癥狀未緩解入院。查體見患處廣泛淤青,存在潛行竇道、大量壞死組織,極易引發嚴重并發癥,救治與修復難度極大。
針對患者的復雜傷情,創面修復與燒傷科團隊迅速組織病例討論,制定階梯式、個性化的綜合治療方案,決定為患者實施腔鏡下右側腹股溝血管探查、清創+創面封閉負壓引流術,借助腔鏡微創技術精準探查,精準清除壞死組織與炎性病灶,為創面愈合創造良好基底。術后7天團隊再次開展右側腹股溝擴創探查+創面封閉負壓引流術,進行二次精細化徹底清創處理,優化愈合環境。針對后期創面愈合不佳及軟組織缺損問題,團隊為患者實施腹股溝筋膜組織瓣修復術,通過筋膜組織瓣轉移精準填補缺損,重建腹股溝區域的完整性,并實現腹股溝區域外觀和功能的統一性,解決了復雜創面難以閉合的關鍵問題。

入院時

術前ct照
術后,醫護團隊實施全方位康復管理,通過定期精細化換藥與動態病情監測,配合營養支持及功能鍛煉指導,有效預防并發癥。經過精準治療與精心護理,患者創面愈合良好,各項指標恢復正常,順利康復出院。
作為我院特色專科,創面修復與燒傷科長期致力于創傷救治與復雜創面修復的系統化診療,常規開展機械擠壓傷、燒燙傷、術后難愈性創面等各類疑難病癥的專病管理。科室技術力量雄厚,率先在重慶地區開展側方骨膜牽張術、碳素光治療等微創技術,并在區內引領應用復合移植、皮膚牽張、NPWT(負壓傷口治療)、PRP(富血小板血漿)及各類穿支皮瓣、肌瓣等前沿修復技術,積累了豐富的復雜病例治愈經驗。
未來,我院創面修復與燒傷科將繼續堅持“技術立科、精準施治”的理念,深化技術創新與臨床研究,不斷提升診療水平與服務內涵,為區域群眾的健康筑起堅實屏障!