news
發布時間:2024-01-25
近日,重慶醫科大學附屬璧山醫院(重慶市璧山區人民醫院)呼吸介入團隊成功為一名九旬高齡患者進行了高危肺結節微波消融術,術后恢復良好。
患者吳爺爺,90歲,胸部增強CT提示左肺高危肺結節,肺癌可能性極大。因患者高齡、肺功能較差,不能耐受外科手術,患者及家屬對肺部高危結節非常擔心。
考慮到患者情況,我院呼吸與危重癥醫學科王開金副主任組織肺結節與肺癌MDT討論,征得患者及家屬同意后,決定為患者實施微波消融術。1月9日由王開金副主任帶領的呼吸介入團隊,在CT引導下為患者行局麻下肺結節微波消融術。手術順利,術中患者無不適,術后恢復良好。

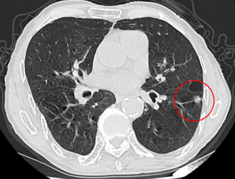
左肺結節

微波消融術中
王開金副主任介紹,與外科手術不同,微波消融術利用高頻電磁波作用于腫瘤細胞,在微波作用下產生磁場,引起腫瘤細胞內的帶電分子高速振動,分子之間相互碰撞、摩擦產生熱量,短時間內使腫瘤細胞內的溫度急劇升高,引起細胞凝固性壞死。它是一種相對安全的微創治療手段。
對于高齡患者,CT引導局麻下經皮微波消融治療有獨特的優勢:
1. 經皮微波消融是局部麻醉,避免了全身麻醉對高齡患者身體的打擊,尤其是心肺功能較差的患者;
2. CT引導可以精確定位,使消融針到達理想位置,盡可能避免損傷周圍的重要結構及臟器;
3. 經皮微波消融操作簡便,痛苦小,耗時短,對全身影響小。