news
發布時間:2023-06-30
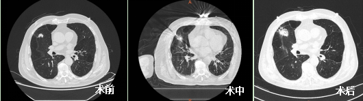
近日,我院呼吸介入團隊為一例葉間裂旁肺結節患者進行了微波消融治療,術中消融針精準命中靶病灶,術后暈征較好地覆蓋病灶,恢復良好,術后三天患者好轉辦理出院。

73歲的劉爺爺既往有慢阻肺病史,近3月出現咳嗽、咳痰癥狀明顯加重,聽診雙肺呼吸音弱,嘗試各種中、西藥治療,一直不見好轉。門診胸部CT提示肺大泡、肺氣腫征象較之前明顯加重,同時肺部多發結節,分別位于右肺上葉葉間裂旁,大小約19mmx15mm,右肺中葉肺結節,大小約11mmx10mm;完善胸部增強CT檢查右肺上葉結節考慮肺癌可能性大。考慮患者年齡大、嚴重肺氣腫、肺大泡、肺功能較差等情況,團隊行肺結節MDT討論,外科手術切除風險極高,家屬拒絕外科手術治療。

為進一步進行治療,王開金副主任帶領胡學進副主任醫師、陳進主治醫師等呼吸介入團隊聯合麻醉科王艷冰副主任進行了縝密的術前討論,綜合評估患者的整體狀況,術前討論決定為患者右肺上葉高危結節進行微波消融術。做好充分術前準備后,團隊于6月16日CT引導下行右肺上葉結節微波消融術,術程順利,全程無痛,術后無并發癥出現。現患者愈后良好,于術后第三天辦理出院,并擬1月后對右肺中葉結節行氬氦刀冷凍消融術。
經皮微波消融是一種微創的治療技術,通過影像定位可對病變部位進行精準的治療。
對比傳統手術它的優勢是:
1.微創、不留疤、恢復快;
2.定位精準、全程影像引導;
3.無需手術切除肺臟;
4.最大限度保護肺臟功能;
5.療效確切、安全性高;
6.可重復性強、并發癥少;
7.費用低、住院周期短。
肺結節微波消融適應癥(2021版《熱消融治療肺部亞實性結節專家共識》):
1.因心肺功能差或者高齡不能耐受外科手術;
2.拒絕行手術切除;
3.外科切除后又新出現的病灶或者遺留病灶,患者無法耐受再次手術或者拒絕再次手術;
4.多發GGN(先消融主病灶,其他病灶根據發展情況可再次消融);
5.各種原因導致中毒胸膜黏連或胸膜腔閉鎖;
6.單肺(各種原因導致一側肺缺如);
7.重度焦慮,經心理及藥物治療無法緩解。
劉爺爺符合專家共識推薦的第一、四條,但他的肺結節緊鄰葉間裂,極易出現氣胸及支氣管胸膜瘺,經過我院呼吸介入團隊認真的術前準備、精準的術中布針,較好地完成了手術。此次微波消融術的成功開展,標志著呼吸與危重癥醫學科微創治療技術再上新臺階。為患者身心健康和生命安全保駕護航,重慶醫科大學附屬璧山醫院呼吸與危重癥醫學科一直在努力!